Pečujeme o Váš úsměv

Celokeramické korunky, výplně

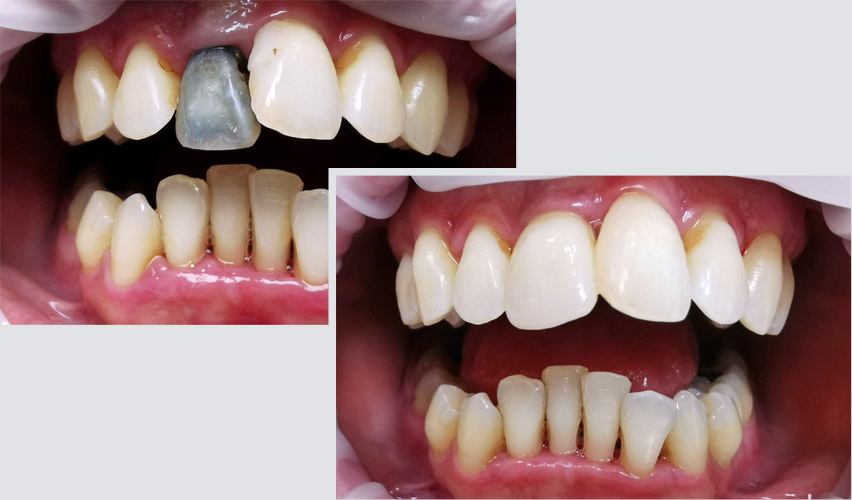
Keramické materiály patří díky svým vlastnostem k nejestetičtějším materiálům používaným ve stomatologii. Jsou biokompatibilní, mechanicky i chemicky odolné a mají podobné vlastnosti jako Vaše vlastní zuby. Díky nim lze dosáhnout dlouhotrvajícího, estetického, přirozeného vzhledu a lesklého povrchu přesně takového jako u přirozených zubů.

Keramické korunky a keramické můstky, nahrazují destruovaný či chybějící zub, o který jste v průběhu let přišli. Keramické výplně nahrazují větší chybějící část zubu, kterou již nejsme schopni kvalitně a funkčně zhotovit klasickou přímou fotokompozitní výplní.

V procesu zhotovení náhrad nám pomáhají moderní výpočetní technologie. Situaci v ústech naskenujeme intraorálním scannerem, čímž vytvoříme 3D model Vašich nabroušených zubů, ten se odešle do laboratoře k dalšímu zpracování. V laboratoři vytvoří návrh budoucí protetické práce a vyfrézují z bločku keramiky vybrané barvy, případně dobarví, aby byl výsledný efekt perfektní. Tato nová metoda je velice rychlá, spolehlivá a hlavně přesná.

 

© Stomatologické centrum Lípa 2026